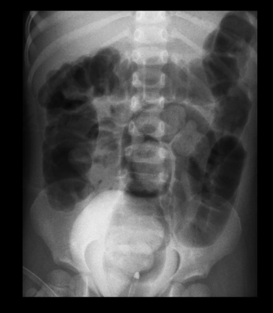
1. 장중첩정복술(intussusception reduction)
해부학적 특징은 영아기 장폐색의 주요 원인 중의 하나로서 흔히 위쪽창자가 아래창자 속으로 말려들어 가는 것을 말한다. 돌막창자가 큰창자 안으로 밀려 들어 가는 것이 95% 정도로서 가장 흔하다. 환아의 80%가 1년 미만의 영아인데, 이 중 5~11개월 사이의 호발연령이고, 여아보다 남아에게서 3배 정도 더 많다. 일반적으로 창자겹침증의 원인은 밝혀지지 않았다. 생리적 특징은 심한 복통으로 울며 다리를 배위로 끌어당이고 이때 구토를 동반한다. 발작후에 5~15분간의 무증상 시기가 있으며 이를 반복한다. 증상 발현 후 초기 몇 시간 동안은 정상적인 대변이 나올 수 있으나 그 후에 대변 및 방귀 배출은 거의 없다. 발병 12시간 이내 특징적인 혈액이 혼합된 대변을 환자의 60%에서 관찰할 수 있다. 조영제는 황산바륨 1통과 warm saline 1병(1000mL)을 준비한다. 미세한 병변을 진단하는 것이 아니고 폐색 부위의 관찰과 장충첩을 푸는 것이 목적이므로 고농도 황산바륨을 사용할 필요가 없다. 음성조영제로는 공기가 있다. 준비물품은 바륨통(enema can), enema tip 또는 foley catheter, 수술용 장갑, 젤리, 공기펌프(공기 정복술시 이용), 압력계, stand 폴대(I.V. stand) 등이 필요하다.

검사법에 바륨정복술(barium reduction)은 수술요법에 비해 손상이 적고 마취의 위험성이 없이 비교적 간단히 중복된 장을 푸는 방법으로 시술 후 합병증이 적고 입원이 불필요하여 환자에게 경제적 부담을 줄 일 수 있다. 그러나 무리하게 시행하면 장이 파열될 가능성이 있고 이로 인해 복막염이 발생하게 되며 방사선피폭도 문제가 될 수 있다. 공기정복술(air reduction)은 공기를 이용해 장중적을 해소시키는 방법으로 진단측면에서 바륨정복술에 비해 절차가 간단하고 교정시간도 짧으며 장천공(창자뚫림) 위험도 상대적으로 낮아 바륨에 의한 복막염이 생기지 않으므로 천공에 의한 부작용이 훨씬 경미하다. 그러나 초보자의 경우 장중첩의 진단과 교정과정의 추적관찰이 어려운 단점이 있다. 주의사항은 3.3.3법칙을 준수한다.(3세 이하의 어린이에게 1회 교정시간을 3분 이내로 한정하여 3회까지 시행한다) 만일 장중첩이 풀리지 않으면 진경제(meperidine hydrochoride: 2mg)을 투여하고 10분 후에 시행하며 그래도 교정되지 않으면 포기하고 수술적 방법으로 대치하여야 한다. 바륨이나 공기정복술은 수술에 비해 장의 손상이 적다. 시술 후 합병증이 적으며 입원을 할 필요가 없다. 공기정복술은 바륨정복술보다 간단하고 교정시간이 빠르다. 장천공시 부작용이 적어서 현제는 공기정복술을 많이 하고 있다.

'지식을 쌓아가는 일' 카테고리의 다른 글
| IVC (0) | 2022.09.23 |
|---|---|
| HDCD (0) | 2022.09.20 |
| ESWL (0) | 2022.09.19 |
| Fistulgraphy (0) | 2022.09.18 |
| Myelography (0) | 2022.09.17 |
댓글